Please feel free to share this site with anyone out of               interest or for educational purposes. It has been worded                      for use by both medical and laypersons.

​                                            


The brainstem consists of the pons and medulla -

Pons -

The pons contains nuclei that relay signals from the forebrain to the cerebellum, along with nuclei that deal primarily with sleep, respiration, swallowing, bladder control, hearing, equilibrium, taste, eye movement, facial expressions, facial sensation, and posture. 

The pons in humans measures about 2.5 cm or 1 inch in length. Most of it appears as a broad interior bulge rostral to the medulla. Posteriorly, it consist mainly of two pairs of thick stalks called cerebeler peduncles. They connect the cerebelum to the pons and midbrain. 


Medulla - 

The medulla oblongata is the lower half of the brainstem, which is continuous with the spinal chord, the upper-half being the pons. It is often referred to simply as the medulla. The medulla contains the cardiac, respitory, vomitting, and vasomotor. Centers and so deals with the autonomic (involuntary) funtions of breathing, heartrate, and blood pressure. The medulla oblongata connects the higher levels of the brain to the spinal chord and is responsible for several functions of the autonomous nervous system, which include : 

                  Respiration, cardiac center (sympathetic and parasympathetic nervous system)(fight or flight).  Also the reflect centers of vomiting, coughing, sneezing, and swallowing. These reflexes which include the pharyngeal reflex, the swallowing reflex, and the masseter reflex, which can all be termed, the bulbar relfexes.

Post  posterior ACM decompression (1997)


 Pre odontoid      removal (2014)

  In an emergency, pertinent information is right here. For education and history see below.

Lucky me

The top of the odontoid is normally at the level of a line drawn from from the hard palate (roof of your mouth) to the base of the occiput.


Until age 35 when new imaging (MRI) revealed these abnormalities, I literally thought that everyone around me who lived and acted "normally" felt the same horrible way that I had for all of my life and just coped with it better than I was able to. Enjoying literally anything was almost inconceivable to me. Living in that state for that length of time with no improvement ever expected has, I believe, given me an increased level of understanding with patients and people in general. I feel that it has led me to being a more compassionate caregiver, a better person and afforded me a unique and healthy perspective on many things in life. 

​​

Neither of these conditions have any outward or external appearance but the symptoms (both physical and mental over time) are VERY taxing to say the least.           I, as many with congenital or undiagnosed abnormalities, tolerated it in         silence until discovered not knowing that there was actually a definable cause. 

                  As I've heard said - "everybody is going through something"



I have created this website for emergency and educational purposes. I wear a dog tag directing first responders                                         and ER personnel to it in lieu of a MedicAlert type system.

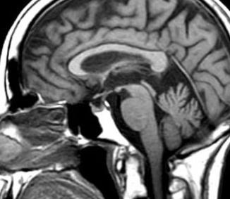
Normal 



Plain film of C-spn 15 years post decompression of foramen magnum, placement of a bovine (cow) pericardium sling for ACM, and titanium rod fusion of occiput to C3 (C4 ?)  -  PRE odontoid removal.

This site is best viewed on a full computer screen

The initial surgery decreased my searing posterior neck/occiput pain related to ACM by 85% I would say. The most recent surgery all but eliminated numerous other symptoms such as hypersensitivity    to sounds, constant nausea, always feeling overheated and a  strange and illogical perception of             the world around me causing a nearly constant state of panic and anxiety to name a few.

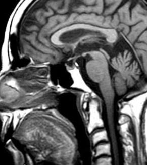
My original MRI -   NO clivus. Third cervical vertebra is now at the level of rounded white bone on first picture.  C1 and C2 are way up inside skull and jagged top is offending the brain stem. Initial brainstem width measured 18mm. ACM obscured by artifact from titanium. 


For more medical people, a small fragment of bone was left adjacent to the basilar artery. It was too tough to get to and not worth the risk as determined by Dr. Gardner.

Physicians at UPMC in Pittsburgh developed new technique around 2010. Using a small endoscope, through the nose, then a small catheter through the back of the nasopharynx ( nose/mouth ) they removed ( via tiny drill ) most of C1 and C2. Quite risky being that close to brain stem. No small complications, sort of an all or nothing thing. This is me 2 weeks post surgery.


MRI normal brain -   At 6 o'clock on the image, round topped vertical white bone (dens-C2)         is below a large white almost triangular pointy bone (clivus). Brain stem (grey oval) is behind strip of black (spinal fluid - CSF). Brain stem controls everything that keeps you alive.

Cerebellar tonsil is the olive shaped grey tissue directly behind the spinal cord at the base of the occiput.

PCP -

Richard Grunden M.D.

Susquehanna Family Medicine

1159 River Rd.

Marietta, PA   17547

717.426.1131

Post UPMC surgery Jan. 2014

History of Arnold Chiari and congenital basilar invagination of C1 and C2. ACM decompressed and occiput - Cspn fusion done 1997                 Anterior C1 and most of C2 removed endoscopically, transnasally at UPMC in 2014.   No medical allergies.  No AC's


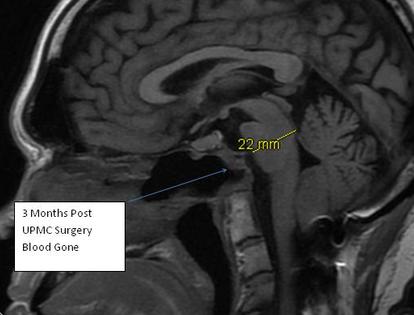
MRI 3 months post surgery -   Blood resolved. Brain stem relaxed and expanded forward by almost 4 mm which might as well be a football field (in places) in the brain for those who are not familiar with brain anatomy.


                       JAC

                              DOB-1963                                       Pennsylvania  USA

                crazybrain355@gmail.com


UPMC neurosurgeon -

Paul Gardner M.D.

200 Lothrop Street, Suite B-400

Pittsburgh, PA   15213

412.647.3685

Lancaster, PA neurosurgeon -

Kieth Kuhlengel M.D.

1671 Crooked Oak Drive

Lancaster, PA   17601

717.569.5331



Example of Arnold Chiari (ACM) - back of brain (cerebellar tonsils) hanging down through foramen magnum (where the spinal cord enters the skull) taking up room that the spinal cord should have. 

​Click here for more info -Arnold Chiari NIH

THIS IMAGE IS NOT ME

            I have worked as a tech in advanced medical imaging and procedures for nearly 30 years which                             has turned out to be a blessing in allowing me to understand my own problems.


1993 -  After a very unpleasant life of symptoms which had recently increased, I finally got a plain film C-spn followed quickly by an MRI that afternoon. MRI showed Arnold Chiari malformation (ACM) and congenital basilar invagination of C1 and C2.

              I saw a local neurosurgeon soon after and was sent to George Washington University Hospital in Washington DC where two procedures were proposed. Decompression of foramen magnum (for the ACM) with possible fusion of occiput to C-spn and very unpleasant, through the face operation for the basilar invagination.


1997 -   Had posterior decompression by Dr. Kuhlengel  (Lancaster,PA), who suggested that while he was there, he place the occiput-C4 fusion rod in case I ever needed it in conjunction with surgical correction of the basilar invagination.


2014 -   Found Dr. Gardner on the web at UPMC in Pittsburgh, who 3 years earlier had developed, or was part of the team that developed and performed one of the first odontoid removals via Endonasal Endoscopic Approach (EEA). Had procedure January 2014 at UPMC. Admittedly, I was one of the more, if not the most challenging odontoid removals that he had performed. (About 30+  total at that point. 7 congenital- me) Most are from rheumatoid arthritis. He now speaks to and trains teams internationally on the EEA approach. 


Of important note -   I had a major reaction to the large amount of steroids used during surgery (EEA),           which put me into a steroid induced psychosis for 4 days. Spent a week in the hospital vs. the                           anticipated 1-2 days.


​Images below tell the story -








Proposed surgery 20 years prior for removal of C1 and C2 to relieve pressure on brain stem. Lose taste and smell. Literally lift face off to perform this with NO guarantee of any symptom relief. Not interested. Ever.